PATHOLOGY
病理学
医知苑-病理学
注 册
登 录
课程
基本外科技能
伤口愈合
急性炎症
伤口处理的基部原则
慢性炎症
局部结构损伤
伤口愈合
手术室规范
手术室协助
洗手
擦洗、穿礼服和戴手套
手术安全
操作注意事项
手术室礼仪
手术技巧
脓肿引流
排水管插入
局麻药浸润
皮肤病变切除术
手术打结
伤口缝合
手术设备
透热疗法
手术器械
缝合材料
临床技能
女性导尿术
血培养
静脉置管术
男性导尿术
建立静脉输液通道
静脉穿刺
围手术期护理
术前护理
术前评估
术前管理
围手术期营养
静脉输液组合物
流体管理
加速术后康复
日间手术
输血的并发症
血液制品
一般术后并发症
败血症
术后发热
术后疼痛管理
术后恶心和呕吐
术后出血
谵妄
心肺并发症
静脉血栓栓塞
术后肺炎
术后肺不张
脂肪栓塞
急性呼吸窘迫综合征
胃肠道并发症
术后肠梗阻
术后便秘
切口疝
肠粘连
吻合口漏
泌尿系统并发症
尿路感染
尿潴留
急性肾损伤
内分泌系统
低钠血症
低钾血症
低血糖
高钠血症
高钾血症
皮肤并发症
伤口裂开
手术部位感染
疤痕疙瘩
病房
术后发烧的病人
严重不适的手术病人
术后患者的一般处理方
急性手术入院的初步管
临床检查
腹部
直肠指检
腹部检查
阴囊检查
腹股沟检查
造口检查
腹部切口
心肺
呼吸系统检查
心血管检查
心胸切口
耳鼻喉
口腔检查
鼻子检查
颈部检查
耳朵检查
内分泌
糖尿病足检查
甲状腺检查
神经病学
上肢和下肢神经系统检
脑神经检查
骨科
脊柱检查
肩关节检查
膝关节检查
髋关节检查
手部检查
足部和踝关节的检查
肘关节检查
血管
周围血管系统检查
周围静脉检查
其它
肾脏检查
乳房检查
如何证明死亡
肿块的检查
普通外科
基本解释
急性腹痛
直肠出血
黑便
呕血
胃肠穿孔
胃出口梗阻
吞咽困难
肠梗阻
食管疾病
食管撕裂
食管运动障碍
食道癌
胃食管反流病
巴雷特食管
胃病
消化性溃疡病
食管裂孔疝
胃癌
小肠疾病
小肠肿瘤
神经内分泌肿瘤
腹股沟疝气
胃肠炎
股疝
血管发育不良
腹壁疝气
大肠疾病
肠扭转
溃疡性结肠炎
伪阻塞
憩室病
克罗恩病
结直肠癌
急性阑尾炎
肛肠疾病
直肠脱垂
藏毛窦疾病
肛周瘘
痔疮
肛肠脓肿
肛裂
肛门癌
肝胰胆外科
基本解释
黄疸
胆囊疾病
胆管炎
胆管癌
胆绞痛和胆囊炎
肝病
肝脓肿
肝囊肿
肝细胞癌
胰腺疾病
胰腺癌
胰腺囊性肿瘤
慢性胰腺炎
急性胰腺炎
脾病
脾破裂
脾梗塞
血管外科
基本解释
肢体剧痛
下肢溃疡
动脉疾病
胸主动脉瘤
颈动脉疾病
主动脉夹层
腹主动脉瘤
周边血管疾病
假性动脉瘤
外周动脉和内脏动脉瘤
慢性肠系膜缺血
慢性肢体缺血
急性肠系膜缺血
急性肢体缺血
其它
静脉曲张
胸廓出口综合征
锁骨下动脉窃血综合征
多汗症
深静脉功能不全
泌尿科
泌尿外科介绍
下尿路症状
血尿
慢性尿潴留
急性尿潴留
阴囊疼痛
阴囊肿块
儿科
尿道下裂
隐睾症
干燥闭塞性龟头炎
肾病
肾结石
肾囊肿
肾癌
肾盂肾炎
膀胱
尿失禁
膀胱癌
前列腺
前列腺炎
前列腺癌
良性前列腺增生症
生殖道
尿道炎
睾丸扭转
睾丸癌
附睾炎
其它
阴茎骨折
阴茎异常勃起
佩罗尼氏病
阴茎癌
包皮过长
福尼尔坏疽
骨外科
一般原则
化脓性关节炎
骨折处理原则
骨髓炎
骨关节炎
开放性骨折
筋膜室综合症
骨肿瘤
关节急性肿胀
儿科
跛行的孩子
生长板骨折
肩
肩峰下撞击综合征
肩部骨折
肩关节脱位
肩袖撕裂
肱骨干骨折
锁骨骨折
二头肌肌腱病
粘连性囊炎
肘部
髁上骨折
桡骨头骨折
鹰嘴骨折
鹰嘴滑囊炎
上髁炎
肘关节脱位
手腕和手
腱鞘炎
舟状骨骨折
神经节囊肿
掌腱膜挛缩症
桡骨远端骨折
奎文氏腱鞘炎
腕管综合症
脊柱
胸腰椎骨折
神经根病
退行性椎间盘疾病
颈椎骨折
臀部
股四头肌腱断裂
骨盆骨折
髋骨关节炎
股骨颈骨折
股骨干骨折
股骨远端骨折
髋臼骨折
膝盖
胫骨干骨折
髌骨骨折
膝盖半月板撕裂
内侧副韧带撕裂
膝关节炎
髂胫束综合症
前十字韧带撕裂
足踝
跖跗关节损伤
胫骨平台骨折
距骨骨折
足底筋膜炎
拇趾外翻
跟骨骨折
脚踝骨折
跟腱炎
乳腺外科
介绍
三重评估
乳腺痛
溢乳
良性乳腺疾病
男性乳房发育症
炎症性乳腺疾病
乳房发育症
恶性乳腺疾病
乳腺癌的手术治疗
乳腺癌的非手术治疗
浸润性乳腺癌
乳腺癌
耳、鼻、喉
介绍
喘鸣
眩晕症
耳鸣
突发感音神经性听力损
颈部肿块
声音嘶哑
面瘫
耳
渗出性中耳炎
外耳炎
耳外伤
慢性鳞状中耳炎
慢性粘膜中耳炎
急性中耳炎
鼻
眶周蜂窝组织炎
鼻外伤
鼻出血
慢性鼻窦炎
急性鼻窦炎
喉
扁桃体炎
阻塞性睡眠呼吸暂停
喉异物
颈深间隙感染
颈部
甲状腺癌
唾液结石症
唾液腺炎
唾液腺肿瘤
头颈癌
神经外科
外伤
外伤性脊髓损伤
硬膜下血肿
硬膜外血肿
弥漫性轴突损伤
头部受伤评估
流量和压力
美门-克里二氏学说
颅内压监测
脑积水
神经血管疾病
蛛网膜下腔出血
颅内感染
颅内动脉瘤
脑出血
动静脉畸形
神经系统恶性肿瘤
脊柱肿瘤
垂体肿瘤
脑膜瘤
神经胶质瘤
功能神经外科
深部脑刺激
癫痫手术
脊柱外科
脊柱感染
脊髓压迫症
马尾综合症
整形外科
烧伤和伤口处理
伤口处理原则
皮肤移植和皮瓣
烧伤评估
烧伤并发症、康复和重
皮肤癌
黑色素瘤
鳞状细胞癌
基底细胞癌
手外伤
甲床损伤
指骨骨折
掌骨骨折
屈肌腱损伤
手指再植
伸肌腱损伤
整形外科感染
坏死性筋膜炎
手部感染
咬伤
皮肤脓肿
心胸外科
核心原则
胎儿与成人循环
移植之桥
体外循环
胸膜
气胸
血胸
心脏
瓣膜病
冠状动脉疾病
心脏肿瘤
胸椎
纵隔肿瘤
肺癌
胸壁疾病
气道疾病
膈疝
移植手术
移植手术的核心概念
移植中的免疫抑制
器官摘取
脑死亡的概念
移植原理
器官移植
肝脏移植
肾移植
肺移植
心脏移植
手术同意书
选修普外科
肠镜检查
结肠镜检查
开放性腹股沟疝修补术
切除肿块
开放式脐疝修补术
腹腔镜腹股沟疝修补术
一般紧急情况
剖腹手术
脓肿切开引流
阑尾切除术
小肠切除术
乙状结肠切除术
麻醉下检查肛门直肠
诊断性腹腔镜检查
耳鼻喉科
鼻中隔成形术
腮腺切除术
鼓膜成形术
显微喉镜检查
插入索环
功能性内窥镜鼻窦手术
柔性鼻内窥镜检查
腺样体切除术
上消化道和减肥治疗
腹腔镜胆囊切除术
食管胃十二指肠镜检查
食管切除术
胃绕道术
胃束带
袖状胃切除术
腹腔镜抗反流手术
泌尿科
前列腺切除术
经尿道膀胱肿瘤切除术
耻骨上导管插入术
阴囊探查 +/- 睾丸固
硬性膀胱镜检查
输尿管支架置入
经皮肾镜取石术
肾切除术
腹股沟睾丸切除术
鞘膜积液切除术
软性膀胱镜检查
附睾囊肿切除术
背缝手术
包皮环切术
结直肠
痔疮切除术
藏毛窦修复
造口逆转
结肠镜检查和柔性乙状
右半结肠切除术
左半结肠切除术
打开瘘管或挂线插入
前路切除术
腹会阴切除术
血管
高位结扎和剥离静脉曲
泡沫硬化疗法
静脉内消融
颈肋切除术
动静脉瘘形成
取栓术
血管造影、血管成形术
颈动脉内膜切除术
下肢截肢
下肢搭桥术
股动脉内膜切除术
股骨-股骨交叉
腋股绕道术
动脉搭桥术
腹主动脉瘤开放式修复
腹主动脉瘤血管内修复
3D数字资源
3D标本手术入路
颅骨手术入路
颈椎前入路
颅脑入路
臂丛神经入路
副神经的处理
上肢周围神经入路
下肢外周围神经入路
阴部神经减压术
病理学3D大体标本
泌尿科
乳腺生殖系统疾病
呼吸系统
胃肠道疾病
肝胰胆疾病
病理学3D虚拟模型
耳、鼻、喉
肝胰胆外科
骨外科
泌尿科
妇科疾病
乳腺肿瘤
中枢神经系统与周围神经系统疾病
呼吸系统疾病
心血管疾病
胃肠疾病
病理学数字切片
细胞和组织的适应与损伤
损伤的修复
局部血液循环障碍
炎症
肿瘤
心血管系统
呼吸系统
消化系统
淋巴造血系统
泌尿系统
女性生殖系统
内分泌系统
神经系统疾病
免疫系统疾病
传染病
男性生殖系统
肝胆系统
3D运动病理
延伸病理学
小腿外侧旋转病
腿部中间旋转病理学
屈膝病
肩外展病
肩外侧旋转病
肩水平外展病
肩内收病
肩部伸展性病理
病理学高清图
神经系统疾病
内分泌系统
生殖和乳腺系统
泌尿系统
淋巴造血系统
消化系统
呼吸系统
心血管系统
肿瘤
炎症
局部血液循环障碍
损伤的修复
细胞和组织的适应与损伤
临床标本
临床标本
3D动画/视频
病理学3D动画
肝胰胆
呼吸系统疾病
心血管疾病
泌尿系统疾病
胃肠道疾病
骨外科
神经系统疾病
炎症
病理学数字切片微视频
细胞和组织的适应与损伤
损伤的修复
局部血液循环障碍
炎症
肿瘤
心血管系统
呼吸系统
消化系统
淋巴造血系统
泌尿系统
生殖和乳腺系统
内分泌系统
神经系统疾病
传染病
临床视频/动画
结肠内窥镜
经内镜逆行胰胆管造影术
十二指肠内窥镜
食管内窥镜
胃内窥镜
小肠内窥镜
直肠内窥镜
试题
基本手术技能
伤口愈合
手术室基础
手术技巧
手术设备
临床技能
围手术期护理
术前护理
一般术后并发症
心肺并发症
胃肠道并发症
泌尿系统并发症
内分泌系统
皮肤并发症
病房
临床检查
腹部
心肺
耳鼻喉
内分泌
神经病学
骨科
血管
其它
普通外科
基本解释
食管疾病
胃病
小肠疾病
大肠疾病
肛肠疾病
肝胰胆外科
基本解释
胆囊疾病
肝病
胰腺疾病
脾病
血管外科
基本解释
动脉疾病
周边血管疾病
其它
泌尿科
泌尿外科介绍
儿科
肾病
膀胱
前列腺
生殖道
其它
骨外科
一般原则
儿科
肩
肘部
手腕和手
脊柱
臀部
膝盖
足踝
乳腺外科
介绍
良性乳腺疾病
恶性乳腺疾病
耳、鼻、喉
介绍
耳
鼻
喉
颈部
神经外科
外伤
流量和压力
神经血管疾病
神经系统恶性肿瘤
功能神经外科
脊柱外科
整形外科
烧伤和伤口处理
皮肤癌
手外伤
整形外科感染
心胸外科
核心原则
胸膜
心脏
胸椎
移植手术
移植手术的核心概念
器官移植
手术同意书
选修普外科
一般紧急情况
耳鼻喉科
上消化道和减肥治疗
泌尿科
结直肠
血管
APP
联系我们
search
注 册
menu
close
close
search
基本外科技能
伤口愈合
急性炎症
伤口处理的基部原则
慢性炎症
局部结构损伤
伤口愈合
手术室规范
手术室协助
洗手
擦洗、穿礼服和戴手套
手术安全
操作注意事项
手术室礼仪
手术技巧
脓肿引流
排水管插入
局麻药浸润
皮肤病变切除术
手术打结
伤口缝合
手术设备
透热疗法
手术器械
缝合材料
临床技能
女性导尿术
血培养
静脉置管术
男性导尿术
建立静脉输液通道
静脉穿刺
围手术期护理
术前护理
术前评估
术前管理
围手术期营养
静脉输液组合物
流体管理
加速术后康复
日间手术
输血的并发症
血液制品
一般术后并发症
败血症
术后发热
术后疼痛管理
术后恶心和呕吐
术后出血
谵妄
心肺并发症
静脉血栓栓塞
术后肺炎
术后肺不张
脂肪栓塞
急性呼吸窘迫综合征
胃肠道并发症
术后肠梗阻
术后便秘
切口疝
肠粘连
吻合口漏
泌尿系统并发症
尿路感染
尿潴留
急性肾损伤
内分泌系统
低钠血症
低钾血症
低血糖
高钠血症
高钾血症
皮肤并发症
伤口裂开
手术部位感染
疤痕疙瘩
病房
术后发烧的病人
严重不适的手术病人
术后患者的一般处理方
急性手术入院的初步管
临床检查
腹部
直肠指检
腹部检查
阴囊检查
腹股沟检查
造口检查
腹部切口
心肺
呼吸系统检查
心血管检查
心胸切口
耳鼻喉
口腔检查
鼻子检查
颈部检查
耳朵检查
内分泌
糖尿病足检查
甲状腺检查
神经病学
上肢和下肢神经系统检
脑神经检查
骨科
脊柱检查
肩关节检查
膝关节检查
髋关节检查
手部检查
足部和踝关节的检查
肘关节检查
血管
周围血管系统检查
周围静脉检查
其它
肾脏检查
乳房检查
如何证明死亡
肿块的检查
普通外科
基本解释
急性腹痛
直肠出血
黑便
呕血
胃肠穿孔
胃出口梗阻
吞咽困难
肠梗阻
食管疾病
食管撕裂
食管运动障碍
食道癌
胃食管反流病
巴雷特食管
胃病
消化性溃疡病
食管裂孔疝
胃癌
小肠疾病
小肠肿瘤
神经内分泌肿瘤
腹股沟疝气
胃肠炎
股疝
血管发育不良
腹壁疝气
大肠疾病
肠扭转
溃疡性结肠炎
伪阻塞
憩室病
克罗恩病
结直肠癌
急性阑尾炎
肛肠疾病
直肠脱垂
藏毛窦疾病
肛周瘘
痔疮
肛肠脓肿
肛裂
肛门癌
肝胰胆外科
基本解释
黄疸
胆囊疾病
胆管炎
胆管癌
胆绞痛和胆囊炎
肝病
肝脓肿
肝囊肿
肝细胞癌
胰腺疾病
胰腺癌
胰腺囊性肿瘤
慢性胰腺炎
急性胰腺炎
脾病
脾破裂
脾梗塞
血管外科
基本解释
肢体剧痛
下肢溃疡
动脉疾病
胸主动脉瘤
颈动脉疾病
主动脉夹层
腹主动脉瘤
周边血管疾病
假性动脉瘤
外周动脉和内脏动脉瘤
慢性肠系膜缺血
慢性肢体缺血
急性肠系膜缺血
急性肢体缺血
其它
静脉曲张
胸廓出口综合征
锁骨下动脉窃血综合征
多汗症
深静脉功能不全
泌尿科
泌尿外科介绍
下尿路症状
血尿
慢性尿潴留
急性尿潴留
阴囊疼痛
阴囊肿块
儿科
尿道下裂
隐睾症
干燥闭塞性龟头炎
肾病
肾结石
肾囊肿
肾癌
肾盂肾炎
膀胱
尿失禁
膀胱癌
前列腺
前列腺炎
前列腺癌
良性前列腺增生症
生殖道
尿道炎
睾丸扭转
睾丸癌
附睾炎
其它
阴茎骨折
阴茎异常勃起
佩罗尼氏病
阴茎癌
包皮过长
福尼尔坏疽
骨外科
一般原则
化脓性关节炎
骨折处理原则
骨髓炎
骨关节炎
开放性骨折
筋膜室综合症
骨肿瘤
关节急性肿胀
儿科
跛行的孩子
生长板骨折
肩
肩峰下撞击综合征
肩部骨折
肩关节脱位
肩袖撕裂
肱骨干骨折
锁骨骨折
二头肌肌腱病
粘连性囊炎
肘部
髁上骨折
桡骨头骨折
鹰嘴骨折
鹰嘴滑囊炎
上髁炎
肘关节脱位
手腕和手
腱鞘炎
舟状骨骨折
神经节囊肿
掌腱膜挛缩症
桡骨远端骨折
奎文氏腱鞘炎
腕管综合症
脊柱
胸腰椎骨折
神经根病
退行性椎间盘疾病
颈椎骨折
臀部
股四头肌腱断裂
骨盆骨折
髋骨关节炎
股骨颈骨折
股骨干骨折
股骨远端骨折
髋臼骨折
膝盖
胫骨干骨折
髌骨骨折
膝盖半月板撕裂
内侧副韧带撕裂
膝关节炎
髂胫束综合症
前十字韧带撕裂
足踝
跖跗关节损伤
胫骨平台骨折
距骨骨折
足底筋膜炎
拇趾外翻
跟骨骨折
脚踝骨折
跟腱炎
乳腺外科
介绍
三重评估
乳腺痛
溢乳
良性乳腺疾病
男性乳房发育症
炎症性乳腺疾病
乳房发育症
恶性乳腺疾病
乳腺癌的手术治疗
乳腺癌的非手术治疗
浸润性乳腺癌
乳腺癌
耳、鼻、喉
介绍
喘鸣
眩晕症
耳鸣
突发感音神经性听力损
颈部肿块
声音嘶哑
面瘫
耳
渗出性中耳炎
外耳炎
耳外伤
慢性鳞状中耳炎
慢性粘膜中耳炎
急性中耳炎
鼻
眶周蜂窝组织炎
鼻外伤
鼻出血
慢性鼻窦炎
急性鼻窦炎
喉
扁桃体炎
阻塞性睡眠呼吸暂停
喉异物
颈深间隙感染
颈部
甲状腺癌
唾液结石症
唾液腺炎
唾液腺肿瘤
头颈癌
神经外科
外伤
外伤性脊髓损伤
硬膜下血肿
硬膜外血肿
弥漫性轴突损伤
头部受伤评估
流量和压力
美门-克里二氏学说
颅内压监测
脑积水
神经血管疾病
蛛网膜下腔出血
颅内感染
颅内动脉瘤
脑出血
动静脉畸形
神经系统恶性肿瘤
脊柱肿瘤
垂体肿瘤
脑膜瘤
神经胶质瘤
功能神经外科
深部脑刺激
癫痫手术
脊柱外科
脊柱感染
脊髓压迫症
马尾综合症
整形外科
烧伤和伤口处理
伤口处理原则
皮肤移植和皮瓣
烧伤评估
烧伤并发症、康复和重
皮肤癌
黑色素瘤
鳞状细胞癌
基底细胞癌
手外伤
甲床损伤
指骨骨折
掌骨骨折
屈肌腱损伤
手指再植
伸肌腱损伤
整形外科感染
坏死性筋膜炎
手部感染
咬伤
皮肤脓肿
心胸外科
核心原则
胎儿与成人循环
移植之桥
体外循环
胸膜
气胸
血胸
心脏
瓣膜病
冠状动脉疾病
心脏肿瘤
胸椎
纵隔肿瘤
肺癌
胸壁疾病
气道疾病
膈疝
移植手术
移植手术的核心概念
移植中的免疫抑制
器官摘取
脑死亡的概念
移植原理
器官移植
肝脏移植
肾移植
肺移植
心脏移植
手术同意书
选修普外科
肠镜检查
结肠镜检查
开放性腹股沟疝修补术
切除肿块
开放式脐疝修补术
腹腔镜腹股沟疝修补术
一般紧急情况
剖腹手术
脓肿切开引流
阑尾切除术
小肠切除术
乙状结肠切除术
麻醉下检查肛门直肠
诊断性腹腔镜检查
耳鼻喉科
鼻中隔成形术
腮腺切除术
鼓膜成形术
显微喉镜检查
插入索环
功能性内窥镜鼻窦手术
柔性鼻内窥镜检查
腺样体切除术
上消化道和减肥治疗
腹腔镜胆囊切除术
食管胃十二指肠镜检查
食管切除术
胃绕道术
胃束带
袖状胃切除术
腹腔镜抗反流手术
泌尿科
前列腺切除术
经尿道膀胱肿瘤切除术
耻骨上导管插入术
阴囊探查 +/- 睾丸固
硬性膀胱镜检查
输尿管支架置入
经皮肾镜取石术
肾切除术
腹股沟睾丸切除术
鞘膜积液切除术
软性膀胱镜检查
附睾囊肿切除术
背缝手术
包皮环切术
结直肠
痔疮切除术
藏毛窦修复
造口逆转
结肠镜检查和柔性乙状
右半结肠切除术
左半结肠切除术
打开瘘管或挂线插入
前路切除术
腹会阴切除术
血管
高位结扎和剥离静脉曲
泡沫硬化疗法
静脉内消融
颈肋切除术
动静脉瘘形成
取栓术
血管造影、血管成形术
颈动脉内膜切除术
下肢截肢
下肢搭桥术
股动脉内膜切除术
股骨-股骨交叉
腋股绕道术
动脉搭桥术
腹主动脉瘤开放式修复
腹主动脉瘤血管内修复
3D数字资源
3D标本手术入路
颅骨手术入路
颈椎前入路
颅脑入路
臂丛神经入路
副神经的处理
上肢周围神经入路
下肢外周围神经入路
阴部神经减压术
病理学3D大体标本
泌尿科
乳腺生殖系统疾病
呼吸系统
胃肠道疾病
肝胰胆疾病
病理学3D虚拟模型
耳、鼻、喉
肝胰胆外科
骨外科
泌尿科
妇科疾病
乳腺肿瘤
中枢神经系统与周围神经系统疾病
呼吸系统疾病
心血管疾病
胃肠疾病
病理学数字切片
细胞和组织的适应与损伤
损伤的修复
局部血液循环障碍
炎症
肿瘤
心血管系统
呼吸系统
消化系统
淋巴造血系统
泌尿系统
女性生殖系统
内分泌系统
神经系统疾病
免疫系统疾病
传染病
男性生殖系统
肝胆系统
3D运动病理
延伸病理学
小腿外侧旋转病
腿部中间旋转病理学
屈膝病
肩外展病
肩外侧旋转病
肩水平外展病
肩内收病
肩部伸展性病理
病理学高清图
神经系统疾病
内分泌系统
生殖和乳腺系统
泌尿系统
淋巴造血系统
消化系统
呼吸系统
心血管系统
肿瘤
炎症
局部血液循环障碍
损伤的修复
细胞和组织的适应与损伤
临床标本
临床标本
3D动画/视频
病理学3D动画
肝胰胆
呼吸系统疾病
心血管疾病
泌尿系统疾病
胃肠道疾病
骨外科
神经系统疾病
炎症
病理学数字切片微视频
细胞和组织的适应与损伤
损伤的修复
局部血液循环障碍
炎症
肿瘤
心血管系统
呼吸系统
消化系统
淋巴造血系统
泌尿系统
生殖和乳腺系统
内分泌系统
神经系统疾病
传染病
临床视频/动画
结肠内窥镜
经内镜逆行胰胆管造影术
十二指肠内窥镜
食管内窥镜
胃内窥镜
小肠内窥镜
直肠内窥镜
细胞和组织的适应与损伤
首页
3D数字资源
病理学数字切片
细胞和组织的适应与损伤
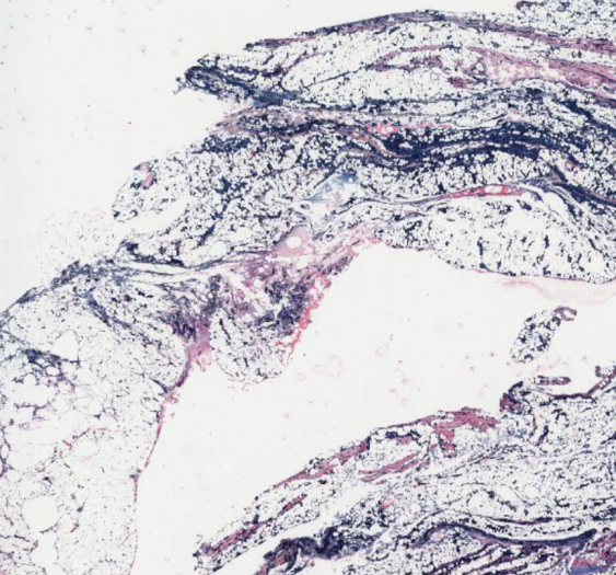
感染性藏毛囊肿
脂肪坏死
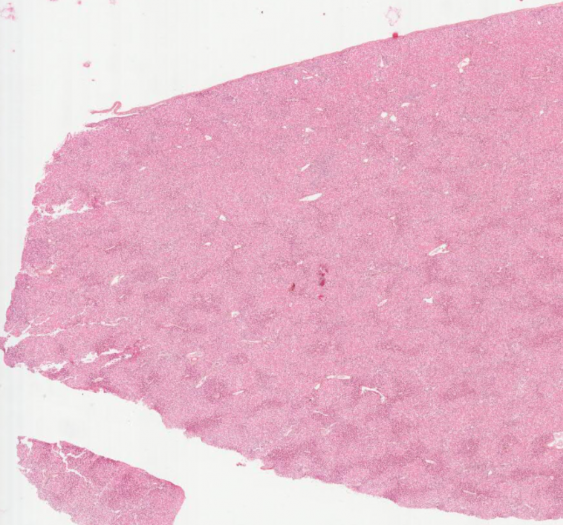
肾淀粉样变性(蛋白质)
肾淀粉样变性(蛋白质沉积)(AP050)
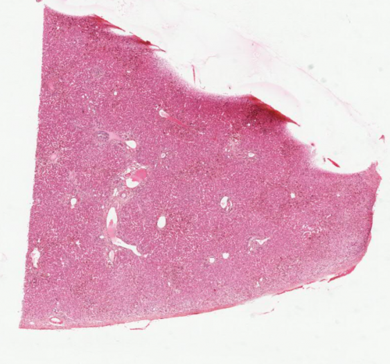
肝淀粉样变性
肝淀粉样变性(蛋白质沉积)
肾小球硬化症(AP044,HE 染色 & 番红染色)
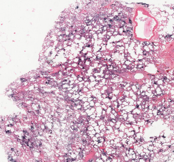
矽肺(AP029,HE 染色 & 番红染色)
肝内胆汁淤积(胆汁)
肝内胆汁淤积(胆汁淤积)
血色病性肝硬化(铁染色)(AP025,普鲁士蓝染色)
血色素沉着症(铁)引起的肝硬化
心源性肺含铁血黄素沉着症(铁染色)及炭末沉着症
血肿(铁染色)(AP021,普鲁士蓝染色)
血肿(含铁血黄素 / 铁染色)(AP020)
胆囊胆固醇沉积症(胆固醇)
肝脂肪变性(甘油三酯)(AP016)
肝脂肪变性(甘油三酯)
破裂的硅酮假体
宫颈表皮样化生
«上一页
1
2
…
3
4
下一页»
共70条/4页
首页
课程
试题
我的